Alonso Martínez
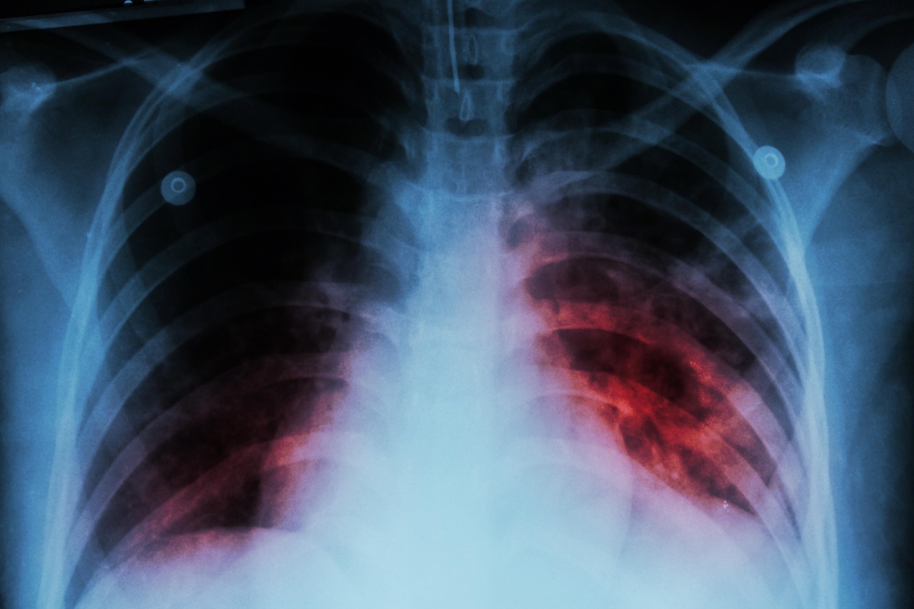
Es preocupante la cantidad de enfermos de tuberculosis activos que en este momento se encuentran detectados en la región de Puerto Vallarta, al llegara en este momento a 203 contagiados.
Lo anterior fue señalado por Jaime Álvarez Zayas, director de la VIII Región Sanitaria, al indicar que la tuberculosis es una enfermedad que se consideraba que ya no había generado contagios; sin embargo, a últimas fechas hay una buena cantidad de infectados.
“La atención especializada por lo que ya mencionamos al principio está laboratorio de Salud Pública donde precisamente en pacientes para tuberculosis de exámenes se hicieron mil 660 baciloscopias positivas y 206 negativas en un gran problema de tuberculosis, eso tampoco no hablamos mucho. Tenemos el día 24 de marzo el Día Mundial tuberculosis y precisamente tenemos este problema salud pública, ahorita tenemos activos 203 casos de tuberculosis, porque pensamos que esa enfermedad no existe no se habla socialmente, por supuesto”.
El médico de profesión indicó que dichos enfermos están siendo atendidos en diferentes clínicas y hospitales del sector público como son la SSJ con 109 enfermos, el IMSS con 89 contagiados, el ISSSTE atiende a cuatro personas y en el Hospital Naval Militar se atiende un enfermo.
Prensaglobal.com | Noticias de Puerto Vallarta Prensaglobal.com | Noticias de Puerto Vallarta y Bahía de Banderas, México. El portal de noticias que te mantiene informado sobre lo que acontece en Puerto Vallarta, Bahía de Banderas y el Estado de Jalisco, México.

